Sistema automatizado de blocos celulares Cellient®

Aumente a confiança no diagnóstico com uma captura de células melhorada.

Dispositivo médico em cima da mesa em contexto de laboratório.

    Visão geral

    Documentos

    Formação

    Aproveite ao máximo cada bloco celular

    O sistema automatizado Cellient é um instrumento de blocos celulares totalmente automatizado. Com um tempo total de processamento inferior a uma hora, a filtração assistida por vácuo concentra rapidamente as células disponíveis dentro do bloco. O sistema produz consistentemente blocos de alta qualidade, úteis para o diagnóstico, para uma revisão eficiente.1

    Captura melhorada

     

    Utiliza filtragem assistida por vácuo.

    Captura as células disponíveis para obter o celularidade máxima, mesmo a partir de amostras pequenas ou escassas.

    Baseada na tecnologia ThinPrep®.

     

    Apresentação melhorada

     

    Ajuda a manter a arquitetura nítida e transparente da célula.

    Cria concentrações de células dentro de um bloco.

    Apoia uma análise patológica mais fácil e produtiva.

     

    Consistência melhorada

     

    Cria blocos de alta qualidade.

    Totalmente automatizado e pouco ou nada dependente do operador.

    Menor risco de contaminação cruzada.

    Tempo de processamento rápido e consistente, de 45 minutos ou menos.

     

    Gráfico mostrando a ligação entre produtos Hologic

    Trabalhamos consigo para promover a saúde cervical

    Orgulhamo-nos de ser defensores da saúde das mulheres e líderes mundiais no rastreio, dedicados a promover a precisão e a deteção precoce do cancro do colo do útero.  Do HPV à citologia, e agora também o diagnóstico digital baseado em IA, oferecemos um portefólio de rastreio abrangente e único, da colheita de amostras ao diagnóstico.

    Tipos de amostras adequadas para blocos celulares

    • Amostras de punções aspirativas por agulha fina (PAAF), pulmão, fígado, tiroide, mama, nódulo linfático e outras zonas do corpo
    • Fluidos corporais: pleural, ascite, pericárdico
    • Respiratório: lavado brônquico, escovado brônquico, expetoração
    • Amostra cervical1
    Técnico a olhar para uma amostra no laboratório

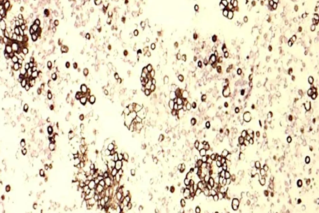
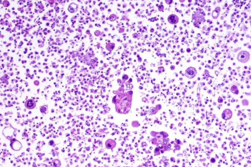
    Galeria de imagens2

    Evidências. Conhecimento. Colaboração.

    O nosso portal educacional melhora o atendimento ao paciente através da excelência na formação, comunicação de evidência clínica e científica, e parcerias com a comunidade médica.

    Perspetivas

    Jovem mulher olhando diretamente para a câmera Mother comforting her young daughter, sitting on a couch with laptop showing a doctor on the screen.

    Rastreio – uma arma vital na luta contra o cancro do colo do útero

    Vários desenhos de mulheres num fundo branco Vários desenhos de mulheres num fundo branco

    Descubra o futuro do rastreio do cancro do colo do útero

    Técnico a usar luvas a tocar num suporte de testes PCR Técnico a usar luvas a tocar num suporte de testes PCR

    A revolução do diagnóstico molecular e o seu impacto nos cuidados personalizados

      1. Manual do Utilizador do sistema automatizado de bloco celular Cellient, MAN-08346-002, Rev 002
      2. Imagem cortesia do Dep. de citologia do Hospital Universitário Groningen, Países Baixos

      Fichas de segurança

      Folhetos informativos

       

      2797
       

      Hologic BV, Da Vincilaan 5, 1930 Zaventem, Belgium.

      Número de Organismo Notificado sempre que aplicável