Tecnologia Quantra™

Padronizar a análise da densidade mamária com aprendizagem automática no local de prestação de cuidados.

Tecnologia Quantra™ da Hologic

    Visão geral

    Documentos

    Formação

    Padronizar a análise da densidade mamária

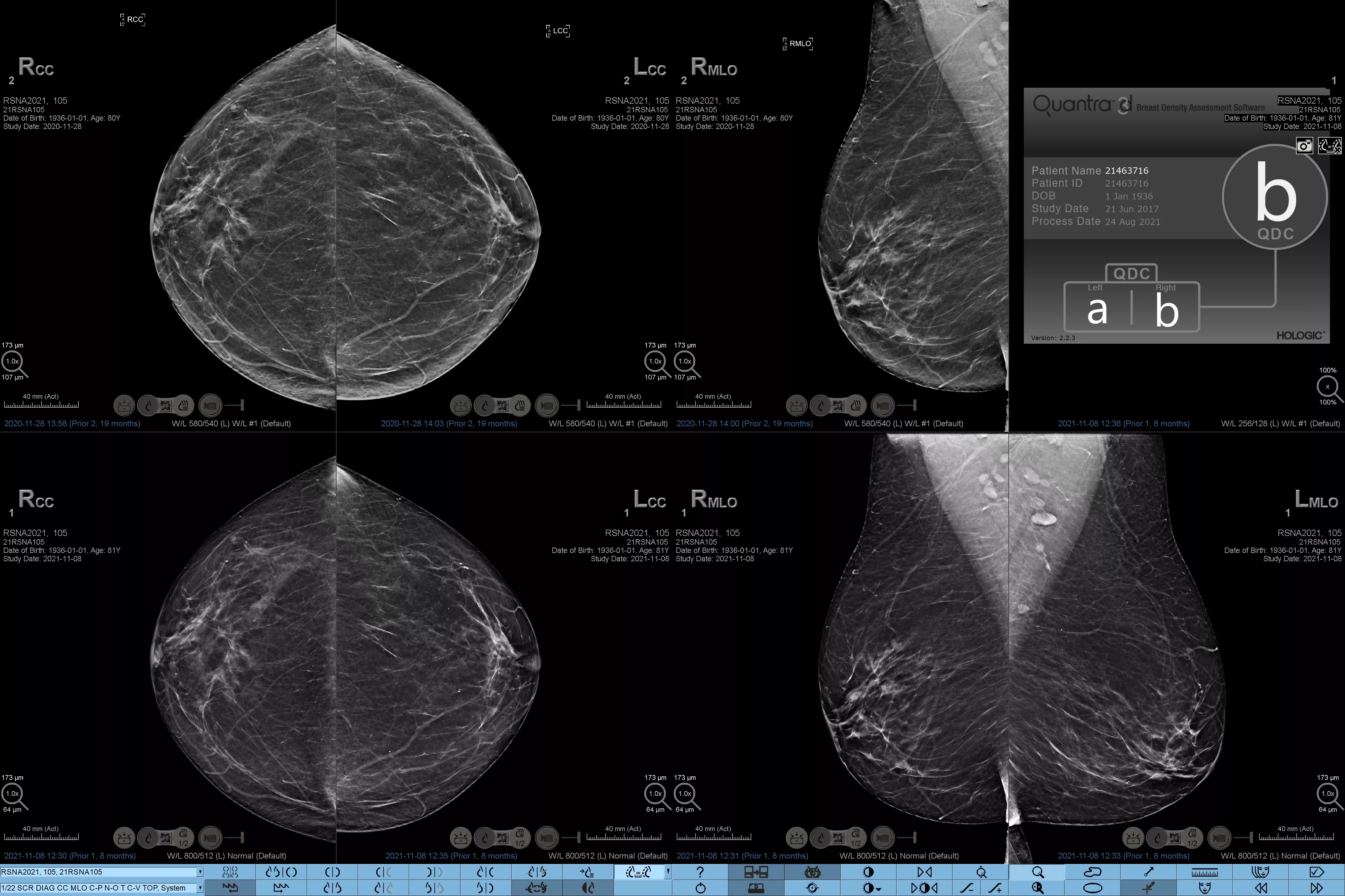
    Sabe-se que uma maior densidade mamária aumenta o risco de desenvolver cancro da mama.1 Consequentemente, é fundamental uma análise precisa e não enviesada. O software de tecnologia Quantra, com aprendizagem automática, analisa a distribuição e a textura do tecido parenquimático, tanto através de imagens de 2D™ como de tomossíntese. Este categoriza a mama em quatro categorias de composição da mama, em conformidade com as diretrizes da American College of Radiology (ACR) BI-RADS Atlas 5th Edition.2

    Melhor avaliação do risco

    O padrão e a textura do tecido fibroglandular pode desempenhar um papel tão importante quanto o volume na avaliação do risco de cancro na mamografia.3-5 Ao avaliar e categorizar a textura e o padrão da mama, a nossa tecnologia pode fornecer a informação precisa de que necessita para obter uma avaliação mais consistente e fiável e traçar com confiança um rastreio específico para cada paciente.

    Avaliação não enviesada

    Algoritmo de aprendizagem automática objetivo que define a categoria de densidade mamária com base na análise da textura e do padrão do tecido mamário.

    Padronização

    Eleve o padrão de cuidados prestados e padronize os relatórios em toda a prática de radiologia.

    Percurso dos pacientes mais fácil

    Exibe a densidade na estação de trabalho de aquisição para facilitar os protocolos de gestão dos pacientes para um potencial sistema de imagem complementar.

    Ilustração dos Cuidados Contínuos em Saúde Mamária da Hologic com Radiologia

    A importância de ganhar tempo em cada etapa dos Cuidados Contínuos

    Os Cuidados Contínuos em Saúde Mamária oferecem soluções integradas para confiança clínica, eficiência do fluxo de trabalho e cuidados compassivos prestados às pacientes, proporcionando a cada vez mais mulheres mais tempo com melhores condições de saúde.

    A tecnologia Quantra faz parte da solução de diagnóstico e rastreio da Hologic.

    Objetivo do design e desempenho clínico

    A Quantra analisa tanto imagens 2D como de tomossíntese para auxiliar a sua análise:

    • Superando a subjetividade da avaliação visual, proporcionando uma avaliação mais consistente e mais fiável.*
    • Elevando o padrão de cuidados e padronizando a elaboração de relatórios.
    • Facilitando os protocolos de gestão de pacientes para sistema de imagem complementar.
    Imagens de mamografias
    Mulher a visitar a Sala de Mamografia do hospital e a falar com o rececionista para rastreio e diagnóstico

    Visite o nosso Hospital Virtual

    Navegar pelo nosso portefólio de soluções de saúde mamária em 3D. Veja a importância de ganhar tempo em cada etapa dos Cuidados Contínuos em Saúde Mamária.

    Soluções de Software Integrado com base em IA Hologic

    Os nossos produtos são concebidos para trabalhar em conjunto e podem ser adaptados às suas necessidades. O nosso pacote integrado de soluções de IA futuristas está concebido para melhorar a deteção e o diagnóstico precoce do cancro da mama, ajudar a acelerar o fluxo de trabalho e permitir cuidados personalizados aos pacientes, com avaliação automatizada da densidade mamária. Discuta as suas necessidades clínicas com a nossa equipa experiente para encontrar a solução mais adequada para si.

    Categorias de risco8

    Evidências. Conhecimento. Colaboração.

    O nosso portal educacional melhora o atendimento ao paciente através da excelência na formação, comunicação de evidência clínica e científica, e parcerias com a comunidade médica.

    Perspetivas

    Radiologistas a analisar exame de tomossíntese mamária no ecrã Radiologistas a analisar exame de tomossíntese mamária no ecrã

    Resultados do estudo ToSyMa, o futuro do 3D no rastreio do cancro da mama

    Mulher sentada de frente para o equipamento de mamografia e profissional de saúde em pé ao seu lado. Mulher sentada de frente para o equipamento de mamografia e profissional de saúde em pé ao seu lado.

    Programas de rastreio do colo do útero e da mama hoje e no futuro

    Clínico e paciente falam sobre o cancro da mama Clínico e paciente falam sobre o cancro da mama

    Intervenções não-cirúrgicas e minimamente invasivas no tratamento da patologia mamária

      *Os resultados baseiam-se nas categorias ACR BI-RADS, em conformidade com as orientações revistas da American College of Radiation (ACR) BI-RADS Atlas 5th Edition. Tal tem em conta o padrão e a textura, comparativamente ao volume, ao determinar a densidade.
      **Estimativa baseada num período de interpretação de imagens diário de 8 horas.
      1. Rafferty EA, Durand MA, Conant EF, et al. Breast Cancer Screening Using Tomosynthesis and Digital Mammography in Dense and Nondense Breasts. JAMA. 2016 Apr 26;315(16):1784-6.
      2. ACR BI-RADS Atlas, 5th Edition. 2013, Disponível em - https://www.acr.org/Clinical-Resources/Reporting-and-Data-Systems/Bi-Rads - (Acedido em: nov. de 2019).
      3. Zuley M, Guo B, Catullo V, et al. “Comparison of Two-dimensional Synthesized Mammograms versus Original Digital Mammograms Alone and in Combination with Tomosynthesis Images.” Radiology. Junho de 2014;271(3):664-71. Publicação eletrónica de 21 de janeiro de 2014
      4. Durand M, Raghu M, Geisel J, et al. “Synthesized 2D Mammography + Tomosynthesis: Can We See Clearly?” (paper presented at the annual meeting of the Radiological Society of North America, Chicago, Il, December 2015).
      5. Choi J, Han B, Ko E, et al. “Comparison with Two-Dimensional Synthetic Mammography Reconstructed from Digital Breast Tomosynthesis and Full Field Digital Mammography for the Detection of T1 Breast Cancer.” European Radiology. Agosto de 2016;26(8):2538-46. Publicação eletrónica de dezembro de 2015.
      6. Ficheiro de Dados Hologic: DHM-08611 Rev 006.
      7. Ficheiro de dados: Relatório de estudo clínico CSR-00116 Rev. 004.
      8. Breast composition categories as described in ACR BI-RADS Atlas.

       

      Fichas de segurança

      Folhetos informativos

      2797

      Hologic BV, Da Vincilaan 5, 1930 Zaventem, Belgium.

      Número de Organismo Notificado sempre que aplicável