Sistema Horizon® DXA

Faça diagnósticos informados e tome decisões de tratamento com confiança. Proporcione os cuidados de qualidade de que os seus pacientes necessitam para se manterem em movimento.

Paciente deitada na mesa de exame de densitometria

    Visão geral

    Documentos

    Formação

    Um sistema DXA que vai mais além

    O sistema Horizon DXA da Hologic gera as imagens de alta resolução, nítidas e evidentes que necessita para avaliar com precisão a densidade óssea, o risco de fraturas, a composição corporal e placas calcificadas na aorta abdominal. Tudo isto num único exame. Este exame combina uma grande variedade de tecnologias avançadas e exclusivas que funcionam em conjunto para lhe dar uma imagem precisa do interior do corpo do paciente. Independentemente do tamanho1 ou da patologia.

    Imagens impressionantes para uma vida melhor

    Quando a saúde dos seus pacientes está nas suas mãos, deseja ter imagens com a melhor qualidade possível para poder determinar com precisão a densidade mineral óssea, localizar fraturas, identificar calcificações da aorta e medir a composição corporal.

    Tecnologia de alta definição

    Um novo dispositivo detetor com um conjunto de vários elementos incorpora a mesma tecnologia de alta definição usada em dispositivos modernos de TC. Permite-lhe capturar imagens altamente detalhadas em que pode confiar, mesmo quando se trata de recolher imagens de pacientes obesos. Graças à sua tecnologia versátil, terá capacidade para avaliar uma vasta gama de patologias com rapidez e precisão.

    Fácil utilização

    Sistema fácil de aprender e fácil de aplicar, com uma interface de utilizador gráfica que otimiza o processo de exame do início ao fim. Além disso, também incorporámos uma série de ferramentas inovadoras para melhorar o fluxo de trabalho, acelerar a produtividade e facilitar a comunicação e a colaboração entre médicos, onde quer que se encontrem.

    Experiência melhorada para as pacientes

    Com esta plataforma única e abrangente, pode avaliar diversas doenças crónicas numa única consulta. Os seus pacientes terão conforto, exames rápidos e uma baixa dose de exposição, enquanto lhes proporciona uma vasta gama de serviços.

    Aumente o número de pacientes atendidos

    O detetor funciona em conjunto com a ampola de raios X de alta capacidade para aumentar a capacidade de carga de calor para uma maior vida útil, sem tempo de arrefecimento. Isto ajuda a aumentar o número de pacientes atendidos e melhora a qualidade de imagem. As imagens notáveis e de alta resolução do sistema são concebidas para enriquecer as vidas, a sua e dos seus pacientes.*

    Gráfico de cuidados contínuos

    A importância de ganhar tempo em cada etapa dos Cuidados Contínuos

    Os Cuidados Contínuos em Saúde Mamária oferecem soluções integradas para confiança clínica, eficiência do fluxo de trabalho e cuidados compassivos prestados às pacientes proporcionando a cada vez mais mulheres mais tempo com melhores condições de saúde.

    Para além das outras aplicações clínicas, o sistema Horizon DXA faz parte da solução de Saúde Metabólica.

    Mantendo a vida em movimento

    Estes factos refletem na perfeição os efeitos devastadores da doença crónica. São também sinal de uma procura crescente de rastreio fiável, deteção precoce e cuidados personalizados destinados a ajudar as pessoas em todo o mundo a viver mais tempo e com mais saúde.

    50+

    1 em cada 3 mulheres e 1 em cada 5 homens terão uma fratura por fragilidade2

    17 milhões

    de pessoas no mundo irão morrer de doença cardiovascular este ano3

    39%

    dos adultos no mundo foram diagnosticados com excesso de peso ou obesidade4

    Visite o nosso Hospital Virtual

    Pesquise as nossas soluções em 3D na Sala de Saúde Esquelética e na Sala de Saúde Metabólica virtuais.

    Imagem interior do Hospital Virtual mostrando a Sala de Saúde Esquelética

    Uma experiência confortável

    Imagens clínicas

    Uma experiência confortável para o paciente

    • Uma consulta rápida de 10 min. com radiografias do colo femoral e da coluna.31
    • Os pacientes estarão deitados numa mesa almofadada e confortável.
    • Sem injeções, não invasivo e sem dor.
    • Sem ser necessária uma preparação. Apenas deve utilizar roupa confortável, sem peças metálicas, botões nem fechos.
    • Dose muito baixa de exposição equivalente a menos de um dia de radiação de fundo ou inferior à dose a que se está exposto durante um voo de navegação.31
    Paciente deitada na mesa de exame de densitometria.

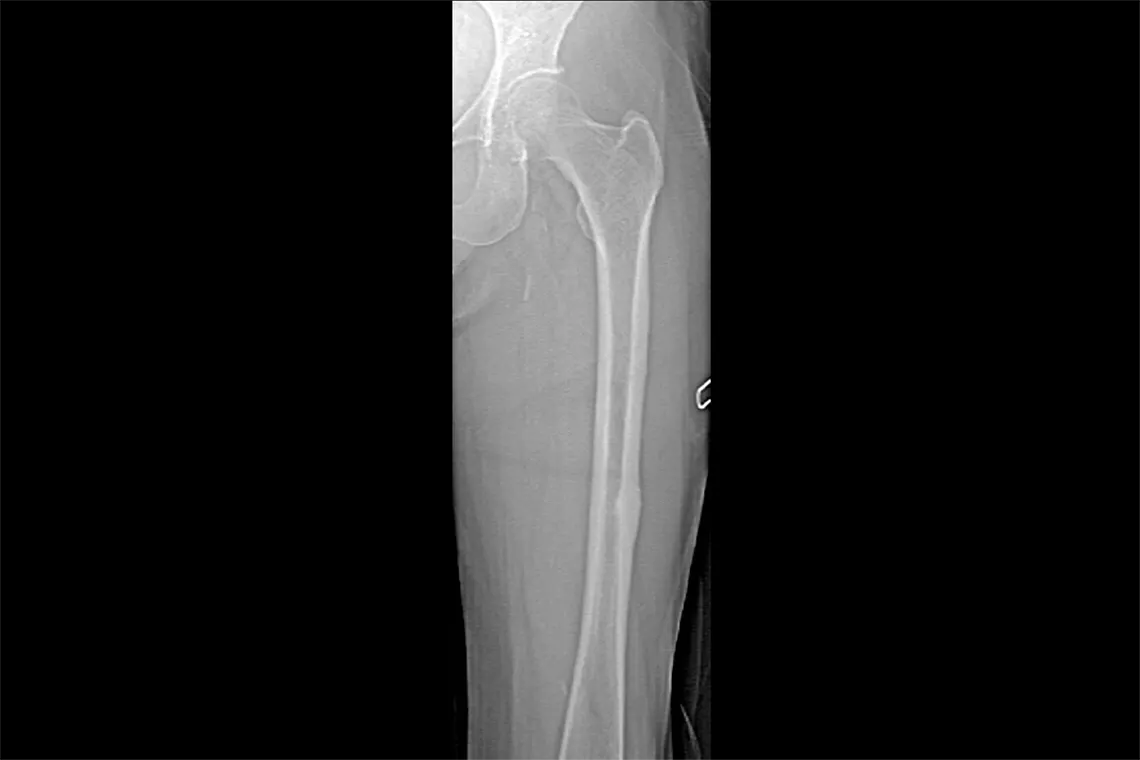
    Um sistema que vai mais além

      O Horizon DXA gera imagens de qualidade radiográfica de todo o fémur para a avaliação de potenciais fraturas atípicas do fémur.31 Uma radiografia rápida de 15 segundos revela um espessamento cortical do osso, fazendo com que seja fácil e rápido monitorizar os efeitos da terapia com bisfosfonatos ao longo do tempo.

      Veja a placa calcificada na aorta abdominal, que pode ser um forte indicador de doenças do coração e AVC, duas das principais causas de morte em homens e mulheres.

      Avalie o risco de fratura através da combinação de uma medição precisa da densidade óssea com imagens vertebrais de alta resolução. É possível identificar fraturas da coluna vertebral com uma imagem de baixa dose e energia única em 10 segundos.

      Melhore a precisão e reduza os erros de análise pós-exame com a colocação precisa e assistida por software de espaços entre os discos vertebrais para análise gráfica.

      O sistema de calibração dinâmica exclusivo da Hologic proporciona uma calibração pixel a pixel através de equivalentes de ossos e tecidos — para uma maior precisão a longo prazo.32

      Um novo conjunto do detetor cerâmico de alta resolução digital é combinado com uma verdadeira geometria de aquisição de feixe de dupla energia em leque para permitir medições rápidas da densidade óssea num único exame. O OnePass elimina os erros de sobreposição do eixo e de distorção da imagem que se encontram nas técnicas de aquisição retilíneas — para uma qualidade de imagem superior e estabilidade dos dados. Mais um exclusivo da Hologic.

      Uma interface gráfica de utilização inovadora simplifica a configuração do paciente, a realização do exame, o arquivo de imagens e a transferência de dados, de modo a melhorar o seu fluxo de trabalho e a satisfação do paciente.

      A funcionalidade MXApro™ no software operativo APEX™ classifica automaticamente a deformidade vertebral e comunica os dados diretamente à funcionalidade de diagnóstico integrada Physician's Report Writer™. Isto significa que pode acelerar o fluxo de trabalho através da interpretação integrada e remota sem a utilização de papel e gerar relatórios com um clique. Pode ainda visualizar e interpretar imagens e informações de qualquer local em qualquer dispositivo.

      O pacote de conectividade IRIS™ Enterprise é a porta de entrada para uma densitometria verdadeiramente sem relatório em papel. Armazene imagens no seu PACS e descarregue dados demográficos e informações de exames diretamente do seu HIS para o leitor para reduzir erros e custos. Pode ainda enviar ficheiros DICOM de DMO e Instant Vertebral Assessment™ para o programa Hologic Physicians Viewer™ e PACS e, em seguida, transmitir relatórios para o seu HIS/RIS e EMR através de HL7. Com o nosso software DB Sync™ opcional, pode ainda partilhar dados entre leitores de diferentes locais.

      Envolvimento do operador reduzido em 25% com posicionamento do paciente e aquisição do exame verdadeiramente automatizados. O software Express Exam™ guia-o ao longo do processo, passo a passo.

      Evidências. Conhecimento. Colaboração.

      O nosso portal educacional melhora o atendimento ao paciente através da excelência na formação, comunicação de evidência clínica e científica, e parcerias com a comunidade médica.

      Perspetivas

      Radiologistas a analisar exame de tomossíntese mamária no ecrã Radiologistas a analisar exame de tomossíntese mamária no ecrã

      Resultados do estudo ToSyMa, o futuro do 3D no rastreio do cancro da mama

      Mulher sentada de frente para o equipamento de mamografia e profissional de saúde em pé ao seu lado. Mulher sentada de frente para o equipamento de mamografia e profissional de saúde em pé ao seu lado.

      Programas de rastreio do colo do útero e da mama hoje e no futuro

      Clínico e paciente falam sobre o cancro da mama Clínico e paciente falam sobre o cancro da mama

      Intervenções não-cirúrgicas e minimamente invasivas no tratamento da patologia mamária

        *Comparativamente com modelos anteriores
        **Autorização 510K da FDA K023398, K041226, K042480, K130277 (AFF), K113356 (VAT), K103265 (Corpo inteiro), K072847 (AAC), K060111 (AAC)
        1. Paciente com um peso de até 227 kg, MAN-04871 Rev 014 (10/2021)
        2. www.osteoporosis.foundation/facts-statistics/epidemiology-of-osteoporosis-and-fragility-fractures acedido a 3 de janeiro de 2023.
        3. www.who.int/news-room/fact-sheets/detail/ cardiovascular-diseases-(cvds) acedido a 3 de janeiro de 2023
        4. www.who.int/news-room/fact-sheets/detail/obesity-and-overweight acedido a 3 de janeiro de 2023
        5. Johnell O and Kanis JA (2006) An estimate of the worldwide prevalence and disability associated with osteoporotic fractures. Osteoporos Int 17:1726.
        6. www.osteoporosis.foundation/facts-statistics/epidemiology-of-osteoporosis-and-fragility-fractures acedido a 3 de janeiro de 2023.
        7. Keene, G.S., M.J. Parker, and G.A. Pryor, Mortality and morbidity after hip fractures. BMJ, 1993. 307(6914): p. 1248-50
        8. Borgström F, Karlsson L, Ortsäter G, et al. International Osteoporosis Foundation. Fragility fractures in Europe: burden, management and opportunities. Arch Osteoporos. 19 de abril de 2020;15(1):59. doi: 10.1007/s11657-020-0706-y. 
        9. https://www.osteoporosis.foundation/facts-statistics/epidemiology-of-osteoporosis-and-fragility-fractures - acedido a 3 de janeiro de 2023
        10. NIH, NHLBI Obesity Education Initiative. Clinical Guidelines on the Identification, Evaluation, and Treatment of Overweight and Obesity in Adults. / Kelly TL, Wilson KE, Heymsfield SB (2009) Dual energy X-Ray absorptiometry body composition reference values from NHANES.
        11. Cruz-Jentoft A.J., Baeyens J.P., Bauer J.M. et al. Sarcopenia: European consensus on definition and diagnosis: Report of the European Working Group on Sarcopenia in Older People, Age and Ageing, Volume 39, edição 4, junho 2010, Páginas 412–42
        12. Marques A. & Queiros C. Frailty, Sarcopenia and Falls. In: Hertz, K., Santy-Tomlinson, J. (eds) Fragility Fracture Nursing. Perspectives in Nursing Management and Care for Older Adults. Springer, Cham. https://doi.org/10.1007/978-3-319-76681-2_2
        13. Baumgarner R.N., Koehler K.M., Romero L. et al. Epidemiology of Sarcopenia among elderly in New Mexico. Am J 1998;147: 755-63
        14. Baumgarner R.N. Body Composition in Healthy aging ANN N Y Acad Sci 2000:904:437-48
        15. Hadji P, Aapro MS, Body JJ, et al. Management of Aromatase Inhibitor-Associated Bone Loss (AIBL) in postmenopausal women with hormone sensitive breast cancer: Joint position statement of the IOF, CABS, ECTS, IEG, ESCEO IMS, and SIOG. J Bone Oncol. 23 de março de 2017;7:1-12. doi: 10.1016/j.jbo.2017.03.001. 
        16. Eastell R, Adams JE, Coleman RE, et al. Effect of anastrozole on bone mineral density: 5-year results from the anastrozole, tamoxifen, alone or in combination trial 18233230. J Clin Oncol. 1 de março de 2008;26(7):1051-7. doi: 10.1200/JCO.2007.11.0726. 
        17. Iyengar NM, Arthur R, Manson JE, et al. Association of Body Fat and Risk of Breast Cancer in Postmenopausal Women With Normal Body Mass Index: A Secondary Analysis of a Randomized Clinical Trial and Observational Study. JAMA Oncol. 1 de fevereiro de 2019;5(2):155-163. doi: 10.1001/jamaoncol.2018.5327. 
        18. Ballard-Barbash R, Schatzkin A, Carter CL, et al. Body fat distribution and breast cancer in the Framingham Study. J Natl Cancer Inst. 21 de fevereiro de 1990;82(4):286-90. doi: 10.1093/jnci/82.4.286. 
        19. E V Bandera, E M Johnl. Obesity, Body Composition, and Breast Cancer: An Evolving Science JAMA Oncol. 1 de junho de 2018;4(6):804-805. doi: 10.1001/jamaoncol.2018.0125
        20. Freedman RJ, Aziz N, Albanes D, et al. Weight and body composition changes during and after adjuvant chemotherapy in women with breast cancer. J Clin Endocrinol Metab. Maio de 2004;89(5):2248-53. doi: 10.1210/jc.2003-031874. 
        21. Battisti S, Guida FM, Coppa F, et al. Modification of abdominal fat distribution after aromatase inhibitor therapy in breast cancer patients visualized using 3-D computed tomography volumetry. Clin Breast Cancer. Outubro de 2014;14(5):365-70. doi: 10.1016/j.clbc.2014.02.003. Publicação elet. de 6 de março de 2014. 
        22. https://www.europadonna.org/breast-cancer/#:~:text=1%20in%2011%20women%20in,younger%20than%2050%20years%20old* acedido a 13 de fevereiro de 2023
        23. https://www.worldosteoporosisday.org/about-osteoporosis acedido a 13 de fevereiro de 2023
        24. Kolb R, Zhang W. Obesity and Breast Cancer: A Case of Inflamed Adipose Tissue. Cancers (Basel). 25 de junho de 2020;12(6):1686. doi: 10.3390/cancers12061686. PMID: 32630445; PMCID: PMC7352736.
        25. Han J., Harrison L., Patzelt L., et al. Imaging modalities for diagnosis and monitoring of cancer cachexia. EJNMMI Res. 23 de setembro de 2021;11(1):94. doi: 10.1186/s13550-021-00834-2. PMID: 34557972; PMCID: PMC8460705.
        26. Bailey DA, McKay HA, Mirwald RL, et al. A six-year longitudinal study of the relationship of physical activity to bone mineral accrual in growing children: the university of Saskatchewan bone mineral accrual study. J Bone Miner Res. Outubro de 1999;14(10):1672-9. doi: 10.1359/jbmr.1999.14.10.1672. 
        27. Matkovic Timing of peak bone mass in Caucasian females and its implication or the prevention of Osteoporosis J Clin Invest 1994; 93,799-808
        28. Current Clinical Practice: Bone Densitometry in Growing Patients: Guidelines for Clinical Practice Edited by: A. J. Sawyer, L. K. Bachrach, and E. B. Fung © Humana Press Inc., Totowa, NJ
        29. www.who.int/news-room/fact-sheets/detail/ageing-and-health#:~:text=The%20pace%20of%20population%20ageing,from%2012%25%20to%2022%25. Acedido a 13 de fevereiro.
        30. Sousa A.S., Guerra R.S., Fonseca I. et al. Financial impact of sarcopenia on hospitalization costs. Eur J Clin Nutr. Setembro de 2016;70(9):1046-51. doi: 10.1038/ejcn.2016.73. Publicação elet. de 11 de maio de 2016.
        31. Manual do Utilizador Horizon MAN-08072-002 Rev 003
        32. Hangartner TN. A study of the long-term precision of dual-energy x-ray absorptiometry bone densitometers and implications for the validity of the least-significant-change calculation. Osteoporosis Int. Abril de 2007;18(4); 513-23

        2797
        0482

        Hologic BV, Da Vincilaan 5, 1930 Zaventem, Belgium.

        Número de Organismo Notificado sempre que aplicável
        Informação do representante CE sempre que aplicável