Software de biopsia com contraste Affirm®

Combine as capacidades de diagnóstico com contraste com a deteção precisa do alvo da lesão num único fluxo de trabalho contínuo, para um procedimento de biopsia mamária eficiente.

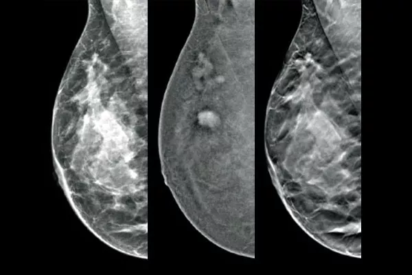
Mamografia com contraste 3D num monitor

    Visão geral

    Documentos

    Formação

    Um futuro promissor para a biopsia mamária

    A solução de biopsia com realce de contraste Affirm® permite a identificação do alvo e a aquisição de tecido mamário de lesões identificadas durante a mamografia com realce de contraste (CEM). Concebida para maximizar a eficiência do fluxo de trabalho e, ao mesmo tempo, melhorar a experiência do paciente, a solução completa de biópsia com contraste simplifica o processo de biópsia mamária*, mesmo para procedimentos difíceis.

    Biopsia com contraste

    Selecione as lesões alvo identificadas na biopsia através de mamografia 2D com realce de contraste através de um procedimento por estereotaxia, com um desempenho de diagnóstico comparável ao procedimento de RM de mama.1,2 Compare as imagens pós-marcador na mesma modalidade que o exame de diagnóstico com contraste inicial.

    Fluxo de trabalho clínico eficiente

    Melhore a experiência de diagnóstico, efetuando a biopsia na mesma sala que o sistema de imagem de diagnóstico. Combinando o software de biopsia com realce de contraste Affirm com o sistema de orientação para biopsia mamária vertical Affirm proporciona um fluxo de trabalho familiar, devido às semelhanças com a biopsia estereotáxica.

    Experiência melhorada para pacientes

    Melhore a experiência dos pacientes graças a um tempo de tempo de procedimento mais curto, maior tolerabilidade e acessibilidade em comparação com a RM de mama.2,3 Os pacientes beneficiam do facto de estarem familiarizados com a sala por ser a mesma e ter o mesmo equipamento que o utilizado durante a mamografia de diagnóstico.

    Ilustração dos Cuidados Contínuos em Saúde Mamária da Hologic com Radiologia

    A importância de ganhar tempo em cada etapa dos Cuidados Contínuos

    Os Cuidados Contínuos em Saúde Mamária oferecem soluções integradas para confiança clínica, eficiência do fluxo de trabalho e cuidados compassivos prestados às pacientes, proporcionando a cada vez mais mulheres mais tempo com melhores condições de saúde.

    O software de biopsia com contraste Affirm faz parte da solução de biopsia da Hologic.

    Aumente a confiança no diagnóstico

    O software de biopsia com contraste Affirm permite-lhe fazer uma biopsia às lesões identificadas durante a mamografia 2D com realce de contraste I-View™. Tirando partido do facto de fornecer imagens 2D com contraste e de tomossíntese com uma única compressão,4 o sistema de orientação para biopsia mamária vertical Affirm permite uma transição rápida do rastreio para a biopsia, tirando partido da mesma cadeia do sistema de imagem comprovado5 que o sistema de mamografia para melhorar a visualização 3D™ de lesões suspeitas.**

    imagem de paciente na sala de biopsia mamária

    Visite o nosso Hospital Virtual

    Navegar pelo nosso portefólio de soluções de saúde mamária em 3D. Veja a importância de ganhar tempo em cada etapa dos Cuidados Contínuos em Saúde Mamária.

    Descubra a nossa completa solução de biopsia com contraste

    O software de biopsia com contraste Affirm®, em combinação com o sistema de imagem com realce de contraste I-View e o sistema de orientação para biopsia mamária vertical Affirm proporcionam um procedimento de biopsia mamária mais eficiente.

    Uma alternativa eficiente e rentável à RM

    O sistema de imagem funcional, utilizando a CEM, assemelha-se à RM de mama, pois tem uma sensibilidade semelhante, uma especificidade mais elevada e um valor preditivo positivo mais elevado.7,8 Além disso, a CEM constitui uma alternativa de sistema de imagem de diagnóstico rentável9 comparativamente à RM, tendo um tempo de procedimento mais reduzido.7,10

    Acessório de braço lateral para biopsia no sistema Affirm Upright fixado no gantry 3Dimensions

    Evidências. Conhecimento. Colaboração.

    O nosso portal educacional melhora o atendimento ao paciente através da excelência na formação, comunicação de evidência clínica e científica, e parcerias com a comunidade médica.

    Perspetivas

    Radiologistas a analisar exame de tomossíntese mamária no ecrã Radiologistas a analisar exame de tomossíntese mamária no ecrã

    Resultados do estudo ToSyMa, o futuro do 3D no rastreio do cancro da mama

    Mulher sentada de frente para o equipamento de mamografia e profissional de saúde em pé ao seu lado. Mulher sentada de frente para o equipamento de mamografia e profissional de saúde em pé ao seu lado.

    Programas de rastreio do colo do útero e da mama hoje e no futuro

    Clínico e paciente falam sobre o cancro da mama Clínico e paciente falam sobre o cancro da mama

    Intervenções não-cirúrgicas e minimamente invasivas no tratamento da patologia mamária

      *Em comparação com os procedimentos de RM. 
        **Em comparação com a biopsia estereotáxica assistida por vácuo em mesa prona.

      1. Alcantara R, Posso M, Pitarch M, et al, Contrast-enhanced mammography-guided biopsy: technical feasibility and first outcomes. Eur Radiol. Janeiro de 2023;33(1):417-428. 
      2. Kamal R, Mansour S, Farouk A et al, Contrast-enhanced mammography in comparison with dynamic contrast-enhanced MRI: which modality is appropriate for whom?, Egypt J Radiol Nucl Med 52, 216 (2021) 
      3. Hobbs MM, Taylor DB, Buzynski S, et al. Contrast-enhanced spectral mammography (CSEM) and contrast enhanced MRI (CEMRI): Patient preferences and tolerance. J Med Imaging Radiat Oncol. 2015;59(3):300-305.
      4. Chou C, Lewin J, Chlang C et al. *Clinical Evaluation of Contrast-Enhanced Digital Mammography and Contrast Enhanced Tomosynthesis-Comparison to Contrast- Enhanced Breast MRI* Eur J Radiol. Dezembro de 2015; 84(12):2501-8. [publicação eletrónica de 1 de outubro de 2015].
      5. Schradling S, Distelmaier M, Dirrichs T et al. Digital Breast Tomosynthesis-guided Vacuum-assisted Breast Biopsy: Initial Experiences and Comparison with Prone Stereotactic Vacuum-assisted Biopsy. Radiology. 2015 274:3,654-662.
      6. PLN-10394_001_01 – Affirm Contrast Biopsy Study.pdf.
      7. Li L, Roth R, Germaine P, et al. Contrast-enhanced spectral mammography (CESM) versus breast magnetic resonance imaging (MRI): A retrospective comparison in 66 breast lesions. Diagn Interv Imaging. 2017;98(2):113-123
      8. Xing D, Lv Y, Sun B, et al. Diagnostic value of contrast-enhanced spectral mammography in comparison to magnetic resonance imaging in breast lesions. J Comput Assist Tomogr. 2019;43(2):245–251
      9. Patel B, Gray R, Pockaj B, et al. Potential Cost Savings of Contrast-Enhanced Digital Mammography. AJR Am J Roentgenol. 2017;208(6):W231-W237.
      10. Coffey K, Jochelson MS. Contrast-enhanced mammography in breast cancer screening. Eur J Radiol. 2022;156:110513.

      Fichas de segurança

      Folhetos informativos

      2797
      0482

      Hologic BV, Da Vincilaan 5, 1930 Zaventem, Belgium.

      Número de Organismo Notificado sempre que aplicável